- 心房細動て怖いの?
- 心房細動は、直接的に致死的となることはありません。
- しかしながら、放置すると生活の質を大きく障害し、長期的にみると生命予後すら悪化させる人もいます。
- 心房細動は、心不全に陥る場合もあります。
- 心房細動は、脳梗塞を起こしやすくします。
- 心房細動の原因は?
- 心臓病(心不全、弁膜症、心筋梗塞)や高血圧、糖尿病など生活習慣病、甲状腺機能亢進症が潜んでいる場合があります。
- 最近のトピックスとして、心臓周囲の脂肪量が心房細動の危険因子であることが報告されております。心臓周囲の脂肪、特に冠動脈周囲の脂肪は、肥満とは独立した冠動脈疾患の危険因子でもあります。
- 心房細動の治療は?
- 心房細動は、正常の規則正しい心臓の動きと違い、不規則な心臓の動きをします。
- 治療は、心臓の動きを正常に戻す方法(洞調律維持治療)と心臓の不規則な心拍を調節する方法(心拍数調節治療)の治療があります。
- いずれの場合も脳梗塞等の血栓塞栓症の予防のための治療(抗血栓症療法)が必要になります。

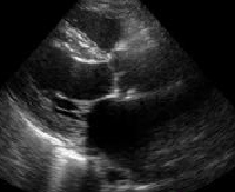
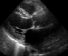
Hypertensive Hypertrophic Cardiomyopathy
Atrial Fibrillation
高血圧症、高血圧性心疾患に心房細動が併発し、
心臓の収縮能が低下した心不全状態であります。
心不全は、臨床症状、身体所見、胸部レントゲンで診断できますが、
心エコー図検査に精通すると、症状が出現する前に心不全になる可能性が
高い状態かを把握することもできます。

HOME
Home Top へ